保険診療と自費診療の違い
保険診療とは機能回復を目的とした治療になります。予防的な概念は少なく、起こってしまった問題に対処することが主な目標になります。 自費診療とは機能回復に加え、審美面と病気の再発防止のための長期管理予防を目的とした診療内容になります。
自費診療の特徴
- 治療費が高額になる。
- 機能性、審美性に優れた素材を使用できる。
- 顕微鏡(マイクロスコープ)を使用することで、より正確で精密な治療ができる。
歯周病治療
| 治療費用 | 110,000円~ 275,000円 ※歯周病の程度による | 
|---|
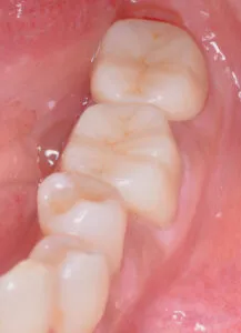
精密根管治療

治療の内容:マイクロスコープを使用した精密根管治療(抜髄)
 治療費用:¥88,000(税込み)
リスク:術後に痛みや腫れが出ることがあります。
治療期間:1回
| 治療費用 | 55,000円〜 143,000円/本 | 
|---|


治療内容:この症例の場合保険のインレーを精密CR治療
治療費用:¥374,000(税込み)
リスク:治療直後しみることがあります。
治療回数:3回
治療内容:この症例の場合保険のインレーを精密CR治療
治療費用:¥55,000(税込み)
リスク:治療直後しみることがあります。
治療回数:1回
| 料金 | 備考 | |
|---|---|---|
| 臼歯部 | 44,000~88,000円 (税込) | 埋める大きさによる | 
| 前歯部 小さい虫歯、正中離開1歯、 すき間1歯 | 33,000~55,000円 (税込) | 形のバランスを取るため2歯になる 事が多い | 
| 前歯部 ダイレクトベニア | 110,000円(税込) | |
| 奥歯の裏の虫歯 | 55,000~88,000円 (税込) | 埋める大きさによる | 
| 精密CR治療 | 44,000円〜 88,000円/本 | 
|---|
詰め物・被せ物


| E-max | 55,000円〜 88,000円/本 | 
|---|
| ジルコニアクラウン | ¥66,000 | 
|---|---|
| ジルコニアクラウン F+ | ¥99,000 | 
| ゴールドクラウン | ¥132,000 | 
| ファイバーコア | ¥22,000 | 

¥154000×2(税込み)

¥154000×3(税込み)
リスク:歯を被せものが入るように削ります。
しみる症状が出ることがあります。
土台の状態が悪い場合、土台からやりかえることがあります。
治療期間:2ヶ月、回数5~6回
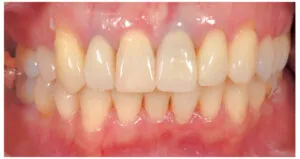
前⻭ 被せ物
| ジルコボンド | 1⻭¥154,000 | 
|---|---|
| ラミネートベニア | 1⻭¥132,000 | 
| ファイバーコア | ¥22,000 | 
※技⼯⼠⽴ち会いによるヒアリング、⾊合わせ ………1⻭につきプラス¥33,000
| メタルボンドクラウン 被せ物 | 奥歯: 55,000円〜 132,000円/本 前歯: 55,000円~ 132,000円/本 | 
|---|

| オールセラミック ジルコニアクラウン 被せ物 | 奥歯: 66,000円〜 132,000円/本 前歯: 132,000円/本 | 
|---|


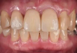
治療内容:前⻭6本のダイレクトベニア
治療費用:¥440,000(税込み)
リスク:噛み合わせにより欠けることがあります
治療回数:2回
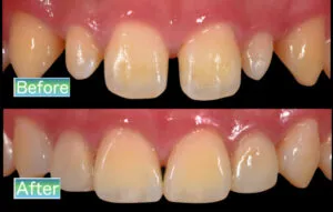
治療内容:前歯2本のラミネートベニア治療
治療費用¥88,000×2(税込み)
リスク:噛み合わせにより欠けることがあります
治療期間:1.5ヶ月
| ラミネートべニア | 1⻭¥132,000 | 
|---|---|
| ダイレクトベニア | 1⻭¥110,000 | 
| ラミネートべニア | 77,000円〜 99,000円/本 | 
|---|

| ゴールドクラウン | ¥132,000 | 
|---|
インプラント

| インプラント1歯 | 440,000円/本 | 
|---|---|
| ポンティック1歯 | 110,000円/本 | 
※以下の項目は別途費用がかかります。
| CT撮影 | 14,300円 | 
|---|---|
| 2次処置 | 5,500円 | 
| 型取り(1歯) | 5,500円 | 
| インデックス採取 | 5,500円 | 
| 仮歯 | 5,500円 | 
| 補綴物試適・調整 | 5,500円 | 
入れ歯

| ノンクラスプデンチャー | 99,000円~ 231,000円 | 
|---|

| 金属床義歯 | 275,000円~ 550,000円 | 
|---|
歯列矯正

| 小児矯正 | 330,000円~ 495,000円 | 
|---|---|
| ワイヤー矯正、成人矯正 | 715,000円~ 880,000円 | 
※以下の項目は別途費用がかかります。
| 資料採得 | 33,000円 | 
|---|---|
| 調整料 | 5,500円 | 
| リテーナー | 固定性:11,000円 可撤性:22,000円 | 
| 経過観察料 | 3,300円 | 
ホワイトニング

| オフィスホワイトニング (レーザーホワイトニング) | 1回上下¥22,000 ※2〜3回の施術(1〜2週間ごとに)で明るくなります | 
|---|---|
| ホームホワイトニング | 上下2週間分:¥55,000 ⽚顎:¥33,000 | 
| 追加の薬剤 | 上下2週間分:¥5,500 ※オフィスホワイトニングとホームホワイトニ ングを併⽤すると効果が強く出ます | 
| インターナルブリーチ(神経を抜いた⻭のホワイトニング) | 1⻭:¥22,000 | 
| ⽩濁のホワイトニング(アイコン) | 1⻭:¥33,000 | 
| ホームホワイトニング | 上下顎2週間分: 55,000円 片顎: 33,000円 | 
|---|
| ホームホワイトニング | 上下顎2週間分: 55,000円 片顎: 33,000円 | 
|---|
| 追加の薬剤 | 上下顎2週間分: 5,500円 | 
|---|
| 追加の薬剤 | 上下顎2週間分: 5,500円 | 
|---|






