PCR
歯周病の原因となる歯垢の磨き残しを、染め出し液を使いながら確認する検査

20年ほど前に「疾患になる前に予防をする」「疾患の早期発見・早期治療」という「予防」に、いち早く取り組み始めました。最近でこそ、「予防治療」という言葉を耳にするようになりましたが、当院が予防治療をはじめた頃はこのような概念が日本の歯科業界にはほぼありませんでした。

当院では、患者さんがご自身の口内環境を視覚資料で確認することで、患者さんご自身に治療の目的や内容の理解をしてもらっています。このように、歯科医師、歯科衛生士と3人4脚で治療をすすめることで、より良い結果を実感いただきたいと思っています。
当院の予防治療の詳細
歯科健診

たんぽぽ歯科クリニックではお口の中の状態によって歯科衛生士が適切な健診のタイミングを教えてくれます。注意が必要な方は1ヶ月、状態が良い方であれば健診のタイミングはどんどん長くなります。最高で「6ヶ月に1回でOK!」になります。歯周病がある場合、検査をご提案する場合もございます。
自費診療の予防治療

自費診療(保険適応外)で行うマイクロスコープを使用した予防治療は、治療時間が長くなり、保険が適応にならないため治療費が高額になるというデメリットがありますが、大変効果的です。マイクロハイジニストが細かな状態をみなさんにわかりやすくお伝えし、お口の中の状態を細かく一緒に確認しながら、ご自身で毎日行う口腔ケア(セルフケア)のレベルを最大限に上げるための施術を行います。自分のお口の中をみなさんはどのくらい知っているでしょうか?
マイクロハイジニストがあなたのお口の中をあなたに見えるようにしてくれます。
マイクロハイジニストとは

歯科衛生士の中でも全ての処置を歯科用顕微鏡で行う、日本でも珍しい拡大視野に特化した歯科衛生士です。
歯科用顕微鏡を用いたマイクロハイジニストの能力
「裸眼」で4ミリ以上の歯周ポケットの内部にある歯石を専門医が除去したとしても取りきれないというデータがあります。マイクロハイジ二ストはなんと最大で10ミリ程の歯周ポケットまで直接見ながら歯石除去を行うことができます。精度は裸眼の場合と比べ物になりません。そして顕微鏡を使用している彼女達がそのことを誰よりも一番理解しています。
歯科用顕微鏡を用いたマイクロハイジニストのブラッシング指導
精度の高い治療を行えることが強みと思われる歯科用顕微鏡ですが、実は最大の武器は歯に起きている状況をあなたに映像で見えるようにしてくれることです。その強みがあなたに普通のブラッシング指導の何倍もの効果をもたらしてくれます。
歯のクリーニング
歯についた歯石や歯垢の除去をして、口腔内トラブルの防止や口臭対策などの健康な歯の維持ためのクリーニングをしましょう。また、クリーニングは歯の黄ばみを改善する審美的効果も期待できます。当院では、虫歯や歯周病の予防として行う保険適用と自費診療の2種類の定期検診、口腔ケアをご用意しております。
※歯のクリーニングには下記のようなデメリットがあります。
歯のクリーニングのデメリット
- 定期的に受けなければきれいな状態を維持できない
PMTC

PMTCとは歯科医師や衛生士といったProfessional(医療従事者/専門家)が、専用のMechanical(医療機器)を使って、Tooth(歯)をCleaning(磨く)ことです。PMTCでクリーニングを受けると、歯磨きでは落としきれないバイオフィルム(歯の汚れや歯垢)の除去ができ、虫歯や歯周病予防につながります。また、コーヒーやワインなどの歯の表面についた着色汚れを取り除くこともできるのです。
※PMTCには下記のようなデメリットがあります。
PMTCのデメリット
- 歯茎を傷つける可能性があります
費用
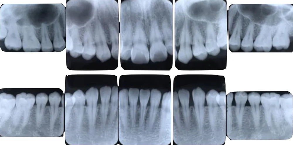
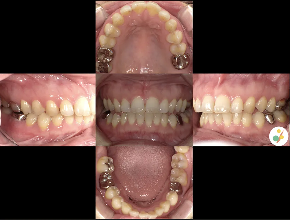
視覚資料として提出する検査結果の一例


レントゲン写真

口腔内写真

唾液検査・顕微鏡プラーク検査

マイクロハイジニストによる顕微鏡メンテナンス
奥歯の裏の汚れを確認
口腔内映像
全体の経過を確認



